Case Gallery

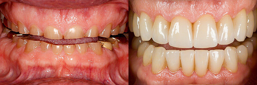
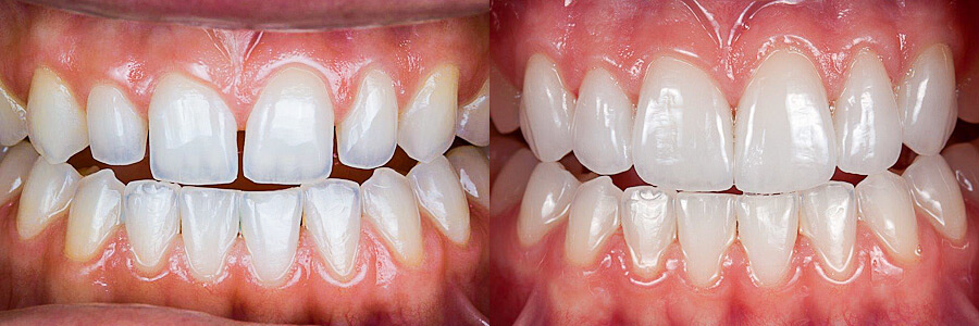
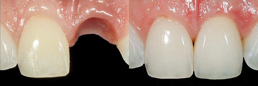
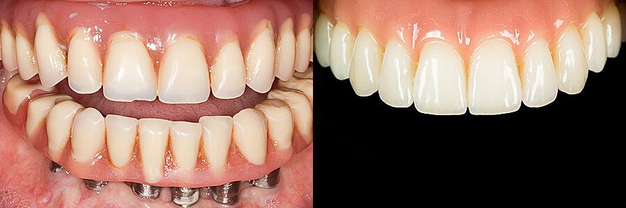
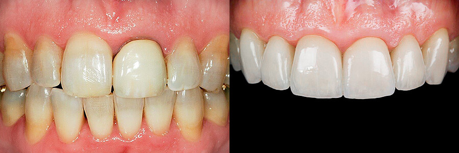
Before: Inadequate tooth length and uneven smile<br />After: Tooth contours modified with porcelain veneers Before: Interproximal spaces and undersized teeth<br />After: Spaces closed with porcelain veneers Before: Undersized teeth and interproximal spaces<br />After: Spaces closed with porcelain veneers Before: Discolored and ill-fitting veneers<br />After: Porcelain veneers replaced Before: Discolored and abraded teeth<br />After: Restored with porcelain veneers and porcelain crowns Before: Tetracycline staining<br />After: Porcelain veneers to mask discoloration Before: Severe tooth wear and discoloration<br />After: Dental rehabilitation with porcelain crowns Before: Fractured upper central incisor<br />After: Restored with a single implant crown Before: Failing Implant Bridge<br />After: Replacement Implant Bridge Before: Multiple missing anterior teeth<br />After: Restored with an implant bridge and single crowns

Practice Contact Information